Protozoa

Welcome to the Protozoa Page! Please browse the family of Gerald!

A Note on Amoebas

This page, and pages like it, are currently organized by date of observation. The table is now fully interactable so you can sort them by organism or date. I truly hope you ~enjoy~ this experience!

Organism Date Photos

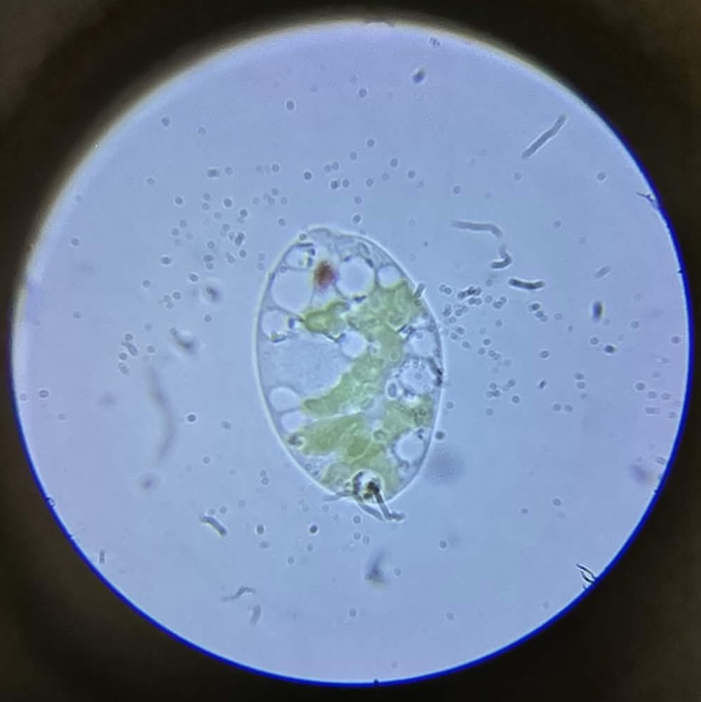
Gerald the Protozoa


Euglena gracilis

February 28, 2026

Protozoa swimming A dead protozoa

Made up thing


TESTING - PLEASE IGNORE!!

March 25, 2026

Moss ball on the ground Micro image of moss tendril